Arthrosis of the knee joints (gonarthrosis) - symptoms and treatment

Arthrosis of the knee joint (gonarthrosis)is a progressive chronic disease of the knee joint, accompanied by damage, thinning and destruction of its cartilaginous part (the articular surfaces of the femur and tibia), as well as damage to the subchondral bone.Research (arthroscopy and MRI) has proven that the meniscus and synovial membrane are also involved in the process, along with damage to the articular cartilage.Gonarthrosis is one of the most common orthopedic pathologies.It has synonyms - osteoarthritis (OA), deforming arthrosis.The disease is an important socio-economic problem, because it is widespread and significantly worsens the quality of life of patients due to constant pain and, in addition, causes high disability.

gonarthrosis of the knee joint

Until the mid-eighties of the last century, there was no unified definition of the disease.Only until 1995, the osteoarthritis committee of the American College of Rheumatology characterized the disease as the result of mechanical and biological factors that lead to an imbalance between the processes of degradation and synthesis of the extracellular matrix of articular cartilage.As a result, fibers break down and degenerate, cracks, osteosclerosis and compaction appear in the cortical layer of subchondral bone, osteophytes grow, and subchondral cysts form.

Why does arthrosis of the knee joint occur?

Risk factors for osteoarthritis include:

  • chronic traumatization (impairment of physical activity, excess weight);
  • endocrine, inflammatory, metabolic and ischemic diseases;
  • the presence of congenital or acquired disorders in the organization of the connections, shape or structure of the articular ends.

If you notice similar symptoms, consult your doctor.Do not self-medicate - it is dangerous for your health!

Symptoms of arthrosis of the knee joints

Osteoarthritis of the knee joint is characterized by:

  • gradual onset;
  • slight pain in the joint when moving, especially when going up and down stairs;
  • The "tightness," stiffness, and "starting pain" that occurs during the first steps and diminishes or disappears when the patient is "diverted" reappears after significant physical activity.
  • the appearance of the knee remains the same.Sometimes there is mild swelling or fluid accumulation in the joint.At the same time, the knee increases in volume, swells, flattens, movement restrictions and heaviness are felt.

Painful feelings

As the disease progresses, the pain becomes more intense, even with small force and long walking.It is localized along the front-inner surface of the joint.Prolonged rest usually helps relieve pain.

Limited mobility of the knee joint and a characteristic crisis

With arthrosis, the range of joint movements may decrease, a crisis may appear, and sharp pain appears when the leg is bent to the maximum.

Knee deformity

The joint configuration changes, as if it expands.

Synovitis

Synovitis of the knee joint is an inflammation of the mucous membrane of the inner cavity of the joint.The disease manifests itself in the form of swelling of the knee, reddening of the skin, limitation of joint mobility.With the development of arthrosis, synovitis occurs more often, lasts longer and contains a large amount of fluid.

The final stage of gonarthrosis is distinguished by the fact that the pain is almost constant, causing discomfort not only during walking, but also during rest, even at night when patients have to look for a comfortable position to sleep.Movement is more limited: it is difficult to fully bend and straighten the leg.The joint deforms and increases in volume.Valgus (X-shaped) or varus (O-shaped) deformation of the legs is often observed.His gait is unsteady and wobbly.In severe cases, a cane or crutches are needed.

complications of knee arthrosis

According to researchers, 76% of elderly people complaining of knee pain have gonarthrosis on radiographs.According to statistics, women after 45 years suffer more from the disease associated with hormonal changes.

Pathogenesis of arthrosis of knee joints

There are primary and secondary osteoarthritis.

Primary arthrosis of the knee joint

  • Articular cartilage is constantly destroyed and renewed;normally these processes are balanced.With age, cartilage renewal slows down and destruction begins to predominate, a process called degradation or degeneration.A person's weight plays an important role, because in 20 steps with a mass of 70 kg we carry 700 kg on each leg (70 kg x 10 steps), and with a mass of 120 kg we already carry 1200 kg on each leg.Therefore, weak cartilage wears out faster;
  • it is important to remember: the joint receives nutrients and regenerates when moving;A sedentary lifestyle reduces metabolic processes and the necessary elements do not reach the cartilage;
  • There is conflicting evidence regarding the role of heredity in the development of the disease.If parents have arthrosis, the probability of its occurrence in children increases;
  • occurs as a result of autoimmune synovial inflammation.

Secondary arthrosis of the knee joint

  • injuries (fractures, tears of the meniscus and anterior cruciate ligaments).Unfortunately, these injuries put excessive stress on the cartilage in everyone, regardless of age.The fracture of any part of the bones covered with cartilage is accompanied by the formation of an unevenness - a "step".In this area, when moving, erosion occurs and arthrosis occurs;
  • rheumatoid arthritis, Koenig's disease (osteochondritis dissecans), the results of purulent inflammation in the joint (gonitis), etc.;
  • regional vascular disorders;
  • chronic exudative-proliferative and cicatricial adhesive processes in the joint.
crack in the knee joint

With arthrosis (osteoarthrosis), along with progressive destruction of cartilage, loss of elasticity and shock absorption properties, bones are gradually involved in the process.Under load, sharp edges (exostoses) appear, which are mistakenly considered "salt deposits" - salt deposition does not occur with classic arthrosis.As arthrosis progresses, it continues to "eat" the cartilage.Then the bone is deformed, cysts are formed there, all the structures of the joint are affected, the leg bends.

In addition to the inner or outer part of the knee, arthrosis can also affect the surfaces between the patella and the intercondylar groove of the femur.This is called selectionpatellofemoral arthrosis.

Its cause is usually subluxation, fracture or lateralization of the patella.

What does osteoarthritis of the knee joint look like

Classification and development stages of arthrosis of knee joints

Regardless of the cause, gonarthrosis has three stages or deforming arthrosis of the knee joint.

Gonarthrosis, I stage

The first stage of the disease is characterized by initial changes in hyaline cartilage.Bone structures are not affected.Blood supply in intraosseous vessels and capillaries is disturbed.The cartilage surface dries up and loses its smoothness.If the disease is accompanied by constant tense synovitis, then Baker's cyst develops (ruptured protrusion of the joint capsule of the popliteal region).Dull pain occurs after significant stress on the joint.There may be a slight swelling that goes away after rest.There is no deformation.

Gonarthrosis, stage II

In the second stage, the cartilage layer becomes thinner and in some places completely disappears.Osteophytes appear along the edges of the articular surfaces.The qualitative and quantitative characteristics of the synovial fluid of the joint change - it becomes thicker, more viscous, which leads to deterioration of its nutritional and lubricating properties.The pain is longer and more severe, and a crunching sound often appears when moving.There is mild or moderate restriction of movement and mild deformity of the joint.Taking analgesics helps relieve pain.

Gonarthrosis, stage III

In the most affected areas, there is a lack of cartilage, severe sclerosis (hardening) of the bone, many osteophytes, and acute narrowing or absence of the joint space.The pain is almost constant, the gait is impaired.Mobility is severely limited and joint deformity is noticeable.NSAIDs, physiotherapy and other standard methods of knee arthrosis treatment are ineffective.

Types of gonarthrosis

Unilateral and bilateral gonarthrosis are distinguished depending on the number of affected joints.

Complications of arthrosis of knee joints

The most common complication of II and III stages is tendovaginitis of the adductor muscle group of the thigh.This is manifested by pain along the inner surface of the joint, which is aggravated by movement.The reason is muscle imbalance and deformation.A contracture develops with a long-term decrease in range of motion.In addition, synovitis often occurs.

Results of advanced gonarthrosis

Gonarthrosis affects the entire musculoskeletal system, disrupting the biomechanics of the spine and other large joints of the lower limbs.This can lead to disc herniation and arthritis of other joints.The second knee joint is overloaded (if the disease is unilateral), because the patient protects the painful leg, transferring the weight to the other healthy one.

Diagnosis of arthrosis of knee joints

Instrumental diagnosis of knee joint arthrosis

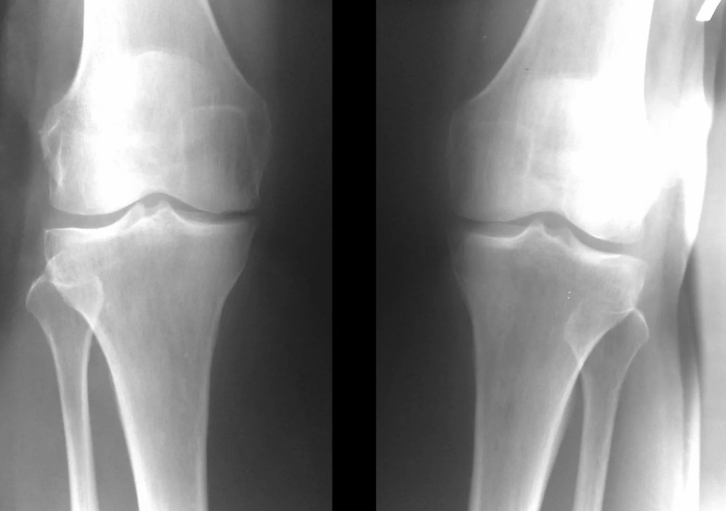
In most cases, examination and radiography of the knee joint in two projections (direct and lateral) are sufficient.Clinical data and images help determine the stage of the disease.

diagnosis of arthrosis of the knee joint

In the early stages of the disease, with small changes in bone tissue, X-ray examination is not so valuable.At this stage, gonarthrosis can be diagnosed through arthroscopy.The accuracy of the method is very high;only its invasive nature and cost can stop it.

Ultrasound does not allow clear visualization of changes in articular cartilage and intra-articular structures.Using MRI, you can detect changes in the bone, cartilage and soft tissue structures of the joint, as well as in the subchondral bone, with 85% accuracy.Scintigraphy can be used to evaluate the metabolic activity of periarticular bone tissue.

Laboratory diagnosis of arthrosis of the knee joint

The increased content of phosphorus and calcium in the dehydrated synovial fluid is evidence of the destruction of the osteochondral tissue of the joint and the accumulation of degradation products.Blood is also examined - general analysis and erythrocyte sedimentation rate (ESR);to determine the level of fibrinogen, urea and other biochemical parameters of blood and urine.

Is it possible to treat deforming arthrosis of the knee joint completely?

Gonarthrosis can be completely cured only at the earliest stage of the disease.

Which doctor treats deforming arthrosis of the knee joint?

A traumatologist-orthopedic or rheumatologist diagnoses and prescribes treatment.

Treatment of arthrosis of knee joints

conservative — anti-inflammatory drugs, painkillers, muscle relaxants, vascular, chondroprotectors, compresses, kinesiotypes, physiotherapy, physiotherapy, orthoses.

Minimally invasive- para-articular blockades (Novocaine + drug relieves pain and inflammation), injection of artificial lubricant into the joint itself, plasma lifting.

Surgical — arthroscopy (a low-traumatic method of treating intra-articular pathologies and removing damaged structures), endoprosthetics.

Drug treatment (drugs for the treatment of arthrosis of the knee joint)

Conservative methods are most effective in the initial stage of the disease.They help reduce pain and temporarily slow the destruction of cartilage.In phase II, more effective methods are needed.Injection of hyaluronic acid preparations into the joint cavity is used to reduce friction and trauma to the cartilage.There is no clear evidence for cartilage regeneration, but it is good for lubricating surfaces."PRP therapy" (plasmolifting) is the injection of platelet-rich plasma obtained from the patient's own blood by centrifugation into the knee joint.It nourishes the cartilage and promotes its regeneration, as autoplasmic platelets contain numerous growth factors and cytokines that promote the repair of damaged tissue.

Surgical treatment and endoprosthetics

Replacement of the endoprosthesis is a common and effective surgical method for the treatment of severe gonarthrosis, which allows to preserve the mobility of the limbs and the ability to lead a full life later.It's a high-tech operation that takes about an hour and a half.In the postoperative period, long-term rehabilitation and development of the joint is necessary.After 25-30 years, when the artificial joint wears out, it needs to be replaced again.

knee replacement

Physiotherapy and kinesitherapy

Physiotherapy and kinesitherapy methods are ineffective for the treatment of arthrosis of the knee joint.

Diet therapy

Diet is only necessary to maintain a normal weight;There are no restrictions on the consumption of certain foods for gonarthrosis.

Does blockade help with gonarthrosis?

For arthrosis of the knee joint, a para-articular block is used - injection of the drug into the soft tissue around the joint.During the procedure, the inflammatory area and pain points near the joint are determined, the skin is treated with alcohol, and hydrocortisone is injected into this area under anesthesia.

Therapeutic exercises for arthrosis

Therapeutic exercises are useful both for patients suffering from gonarthrosis and for the prevention of this disease.Effective exercises:

  • full flexion and extension of the leg, lying on the back;
  • Raise a straight leg while lying on your back.

Forecast.Prevention

You should understand that if arthrosis begins to develop, it should be treated immediately.If you are at risk for this disease, you can delay its onset, for which it is recommended:

  • reduce stress on the knee joint;
  • swim - water relieves stress;
  • massage the muscles of the lower leg and thigh yourself;
  • avoid hypothermia and overwork;
  • maintain a normal weight;
  • give up smoking and alcohol;
  • women wear comfortable low heels;
  • do physical therapy

Before starting therapeutic exercises, you should definitely consult your doctor.Exercises are performed at a slow pace.If pain or discomfort occurs during gymnastics, the exercises should be stopped.

Only effective drugs should be used.Rubbing, compresses and other folk methods are ineffective;they do not act on the cause of the disease, but help to distract from the pain.Avoid injuries and overexertion - jumping, carrying heavy objects, standing for long periods or sitting in an uncomfortable position.This accelerates the course of the disease.

Rheumatoid arthritis, gout and systemic diseases should also be diagnosed and treated in time.

What factors affect the long-term prognosis of knee osteoarthritis?

The prognosis depends on the stage at which the patient goes to the doctor and the correct therapy.The sooner you start the right treatment, the better your chances of avoiding surgery.